๋ฐ๊ฐ๋ฝ ๊ณจ์ ์์น ๊ธฐ๊ฐ ์์๋ณด์
- ์นดํ ๊ณ ๋ฆฌ ์์
- 2024. 8. 16. 15:36
๐ฆถ ๋ฐ๊ฐ๋ฝ ๊ณจ์ , ์ธ์ ์ฏค ๋ค์ ๊ฑท๊ฒ ๋ ๊น? ์์น ๊ธฐ๊ฐ๊ณผ ๊ผผ๊ผผํ ๊ด๋ฆฌ๋ฒ ๐ฆถ
๊ฐ์์ค๋ฌ์ด ์ฌ๊ณ ๋ ๋ถ์ฃผ์๋ก ๋ฐ๊ฐ๋ฝ์ ๋ค์ณ ๊น์ค๋ฅผ ํ๊ฒ ๋๋ฉด, "์ธ์ ์ฏค ๋ค์ ์์ ๋กญ๊ฒ ๊ฑธ์ ์ ์์๊น?" ํ๋ ๊ฑฑ์ ์ด ์์๊ธฐ ๋ง๋ จ์ด์ฃ . ๋ฐ๊ฐ๋ฝ ๊ณจ์ ์ ์๊ฐ๋ณด๋ค ํํ๊ฒ ๋ฐ์ํ๋ ๋ถ์์ด์ง๋ง, ์์น๊น์ง ๊ฑธ๋ฆฌ๋ ์๊ฐ๊ณผ ๊ด๋ฆฌ ๋ฐฉ๋ฒ์ ๊ณจ์ ์ ์ฌ๊ฐ์ฑ๊ณผ ๊ฐ์ธ์ ํ๋ณต ์๋์ ๋ฐ๋ผ ๋ฌ๋ผ์ง ์ ์์ต๋๋ค. ์ค๋์ ๋ฐ๊ฐ๋ฝ ๊ณจ์ ์์น ๊ธฐ๊ฐ๊ณผ ๊ผผ๊ผผํ ๊ด๋ฆฌ๋ฒ์ ๋ํด ์์ธํ ์์๋ณด๊ณ , ๋น ๋ฅธ ํ๋ณต์ ์ํ ๊ฟํ๊น์ง ์๋ ค๋๋ฆด๊ฒ์! ๐
1. ๋ฐ๊ฐ๋ฝ ๊ณจ์ , ์ ๋ฐ์ํ ๊น์? ๐ค



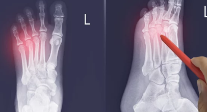
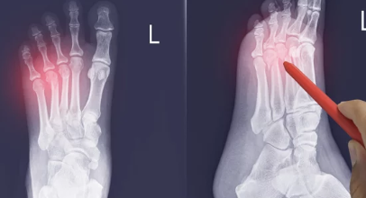
๋ฐ๊ฐ๋ฝ ๊ณจ์ ์ ์ธ๋ถ ์ถฉ๊ฒฉ์ผ๋ก ์ธํด ๋ฐ๊ฐ๋ฝ ๋ผ์ ๊ธ์ด ๊ฐ๊ฑฐ๋ ๋ถ๋ฌ์ง๋ ๊ฒ์ ๋งํฉ๋๋ค. ์ฃผ์ ์์ธ์ผ๋ก๋ ๋์, ๋ฌด๊ฑฐ์ด ๋ฌผ๊ฑด ๋จ์ด๋จ๋ฆผ, ๋ฐ ๋ฐํ, ์คํฌ์ธ ํ๋ ์ค ๋ถ์ ๋ฑ์ด ์์ต๋๋ค. ํนํ ๊ฒจ์ธ์ฒ ์๋ ๋นํ๊ธธ ๋์ ์ฌ๊ณ ๋ก ์ธํด ๋ฐ๊ฐ๋ฝ ๊ณจ์ ํ์๊ฐ ์ฆ๊ฐํ๋ ๊ฒฝํฅ์ด ์์ต๋๋ค.
2. ๋ฐ๊ฐ๋ฝ ๊ณจ์ , ์ด๋ค ์ฆ์์ด ๋ํ๋ ๊น์? ๐ค



- ์ฌํ ํต์ฆ: ๊ณจ์ ๋ถ์๋ฅผ ์์ง์ด๊ฑฐ๋ ์๋ ฅ์ ๊ฐํ๋ฉด ์ฌํ ํต์ฆ์ด ๋๊ปด์ง๋๋ค.
- ๋ถ๊ธฐ & ๋ฉ: ๊ณจ์ ๋ถ์ ์ฃผ๋ณ์ด ๋ถ๊ณ ๋ฉ์ด ๋ค ์ ์์ต๋๋ค.
- ๋ณํ: ๊ณจ์ ์ด ์ฌํ ๊ฒฝ์ฐ ๋ฐ๊ฐ๋ฝ ๋ชจ์์ด ๋ณํ๋ ์ ์์ต๋๋ค.
- ๋ณดํ ์ฅ์ : ํต์ฆ์ผ๋ก ์ธํด ์ ์์ ์ธ ๋ณดํ์ด ์ด๋ ค์์ง๋๋ค.
3. ๋ฐ๊ฐ๋ฝ ๊ณจ์ , ์์น๊น์ง ์ผ๋ง๋ ๊ฑธ๋ฆด๊น์? โฐ



๋ฐ๊ฐ๋ฝ ๊ณจ์ ์์น ๊ธฐ๊ฐ์ ๊ณจ์ ์ ์ฌ๊ฐ์ฑ, ์น๋ฃ ๋ฐฉ๋ฒ, ๊ฐ์ธ์ ํ๋ณต ์๋ ๋ฑ์ ๋ฐ๋ผ ๋ฌ๋ผ์ง๋๋ค. ์ผ๋ฐ์ ์ผ๋ก 4~8์ฃผ ์ ๋ ์์๋์ง๋ง, ์ฌํ ๊ณจ์ ์ด๋ ์์ ์ด ํ์ํ ๊ฒฝ์ฐ์๋ ๋ ์ค๋ ์๊ฐ์ด ๊ฑธ๋ฆด ์ ์์ต๋๋ค.
- ๋จ์ ๊ณจ์ : ๋ผ์ ๊ธ์ด ๊ฐ ๊ฒฝ์ฐ์๋ ๊น์ค๋ ๋ถ๋ชฉ ๊ณ ์ ๋ฑ ๋ณด์กด์ ์น๋ฃ๋ฅผ ํตํด 4~6์ฃผ ์ ๋๋ฉด ์์น๋ ์ ์์ต๋๋ค.
- ์ ์ ๊ณจ์ : ๋ผ๊ฐ ์ด๊ธ๋ ๊ฒฝ์ฐ์๋ ๋ผ๋ฅผ ๋ง์ถ๋ ์ ๋ณต์ ์ด๋ ์์ ์ด ํ์ํ ์ ์์ผ๋ฉฐ, ์์น๊น์ง 6~8์ฃผ ์ด์ ์์๋ ์ ์์ต๋๋ค.
4. ๋ฐ๊ฐ๋ฝ ๊ณจ์ , ์น๋ฃ ๋ฐฉ๋ฒ์ ๋ฌด์์ผ๊น์? ๐ฅ
- ๋ณด์กด์ ์น๋ฃ: ๋ผ๊ฐ ์ด๊ธ๋์ง ์์ ๋จ์ ๊ณจ์ ์ ๊ฒฝ์ฐ ๊น์ค๋ ๋ถ๋ชฉ ๊ณ ์ , ํ ์ดํ ๋ฑ์ ํตํด ์น๋ฃํฉ๋๋ค.
- ์์ ์ ์น๋ฃ: ๋ผ๊ฐ ์ด๊ธ๋ ์ ์ ๊ณจ์ ์ด๋ ๊ด์ ์์์ด ๋๋ฐ๋ ๊ฒฝ์ฐ์๋ ์์ ์ ์น๋ฃ๊ฐ ํ์ํ ์ ์์ต๋๋ค.
5. ๋ฐ๊ฐ๋ฝ ๊ณจ์ , ๊ผผ๊ผผํ ๊ด๋ฆฌ๊ฐ ๋น ๋ฅธ ํ๋ณต์ ์ง๋ฆ๊ธธ! ๐



- ์ถฉ๋ถํ ํด์: ๊ณจ์ ๋ถ์์ ๋ฌด๋ฆฌ๊ฐ ๊ฐ์ง ์๋๋ก ์ถฉ๋ถํ ํด์์ ์ทจํด์ผ ํฉ๋๋ค.
- ๋์ฐ์ง: ๋ถ๊ธฐ์ ํต์ฆ ์ํ๋ฅผ ์ํด ๊ณจ์ ๋ถ์์ ๋์ฐ์ง์ ํด์ฃผ๋ ๊ฒ์ด ์ข์ต๋๋ค.
- ์๋ฐ: ์๋ฐ ๋ถ๋๋ ์๋ฐ ์คํํน์ ์ฐฉ์ฉํ์ฌ ๋ถ๊ธฐ๋ฅผ ์ค์ด๊ณ ํ์ก์ํ์ ์ด์งํ ์ ์์ต๋๋ค.
- ๊ฑฐ์: ๋ค๋ฆฌ๋ฅผ ์ฌ์ฅ๋ณด๋ค ๋๊ฒ ์ฌ๋ ค ๋ถ๊ธฐ๋ฅผ ์ํ์ํค๋ ๊ฒ์ด ์ข์ต๋๋ค.
- ํต์ฆ ๊ด๋ฆฌ: ์งํต์ ๋ฅผ ๋ณต์ฉํ์ฌ ํต์ฆ์ ์กฐ์ ํ ์ ์์ต๋๋ค.
- ์ฌํ ์ด๋: ์์ฌ์ ์ง์์ ๋ฐ๋ผ ์ฌํ ์ด๋์ ๊พธ์คํ ํ๋ฉด ๊ด์ ์ด๋ ๋ฒ์๋ฅผ ํ๋ณตํ๊ณ ๊ทผ๋ ฅ์ ๊ฐํํ๋ ๋ฐ ๋์์ด ๋ฉ๋๋ค.
6. ์ต๊ทผ ์ฐ๊ตฌ ๊ฒฐ๊ณผ, ๋ฐ๊ฐ๋ฝ ๊ณจ์ ์น๋ฃ์ '์ด๊ฒ' ํจ๊ณผ์ ! ๐ฆด
- ์ฒด์ธ ์ถฉ๊ฒฉํ ์น๋ฃ: ์ต๊ทผ ์ฐ๊ตฌ์ ๋ฐ๋ฅด๋ฉด, ์ฒด์ธ ์ถฉ๊ฒฉํ ์น๋ฃ๊ฐ ๋ฐ๊ฐ๋ฝ ๊ณจ์ ์น๋ฃ์ ํจ๊ณผ์ ์ด๋ผ๋ ๊ฒฐ๊ณผ๊ฐ ๋ณด๊ณ ๋์์ต๋๋ค. ์ฒด์ธ ์ถฉ๊ฒฉํ ์น๋ฃ๋ ํต์ฆ ์ํ, ๋ผ ์น์ ์ด์ง, ํ์ก์ํ ๊ฐ์ ๋ฑ์ ํจ๊ณผ๊ฐ ์์ต๋๋ค.
7. ๋ฐ๊ฐ๋ฝ ๊ณจ์ , ์๋ฐฉ์ด ์ต์ ์ ๋๋ค! ๐ฆบ



- ์์ ํ ์ ๋ฐ ์ฐฉ์ฉ: ๋ฐ์ ๋ณดํธํ ์ ์๋ ํธ์ํ๊ณ ์์ ํ ์ ๋ฐ์ ์ฐฉ์ฉํ๋ ๊ฒ์ด ์ค์ํฉ๋๋ค.
- ์ฃผ์๋ ฅ ์ ์ง: ๊ฑท๊ฑฐ๋ ๋ฐ๋ ๋ฑ ํ๋ ์ ์ฃผ๋ณ ํ๊ฒฝ์ ์ฃผ์๋ฅผ ๊ธฐ์ธ์ฌ ๋์์ด๋ ๋ถ๋ชํ ์ฌ๊ณ ๋ฅผ ์๋ฐฉํด์ผ ํฉ๋๋ค.
- ๋ผ ๊ฑด๊ฐ ๊ด๋ฆฌ: ์นผ์๊ณผ ๋นํ๋ฏผ D ์ญ์ทจ, ๊ท์น์ ์ธ ์ด๋ ๋ฑ์ ํตํด ๋ผ ๊ฑด๊ฐ์ ๊ด๋ฆฌํ๋ ๊ฒ์ด ์ค์ํฉ๋๋ค.
๋ฐ๊ฐ๋ฝ ๊ณจ์ , ๊พธ์คํ ๊ด๋ฆฌ์ ์น๋ฃ๋ก ๊ทน๋ณตํ์ธ์!
๋ฐ๊ฐ๋ฝ ๊ณจ์ ์ ์์น๊น์ง ์๊ฐ์ด ๊ฑธ๋ฆฌ๊ณ ๋ถํธํจ์ ์ด๋ํ ์ ์์ง๋ง, ๊พธ์คํ ๊ด๋ฆฌ์ ์ ์ ํ ์น๋ฃ๋ฅผ ํตํด ์ถฉ๋ถํ ํ๋ณต ๊ฐ๋ฅํฉ๋๋ค. ์์ฌ์ ์ง์์ ๋ฐ๋ผ ๊พธ์คํ ์น๋ฃํ๊ณ ์ฌํ ์ด๋์ ๋ณํํ๋ฉด ๊ฑด๊ฐํ ๋ฐ๋ก ๋ค์ ์์ ๋กญ๊ฒ ๊ฑธ์ ์ ์์ ๊ฑฐ์์! ๐