임플란트 시술과정 및 시술 후 주의사항
- 카테고리 없음
- 2023. 11. 17. 17:59
임플란트 시술과정 및 시술 후 주의사항에 대해 설명해드리도록 하겠습니다.
임플란트는 손상된 이빨이나 빈 치아를 대체하기 위한 인공 이빨입니다. 일반적으로 작은 나사 모양의 금속 장치로, 잇몸과 안면골 사이에 삽입됩니다. 이 장치는 실제 이빨과 동일한 역할을 수행하고, 씹기, 말하기 및 웃음을 할 때 자연스러운 모습을 유지합니다.



임플란트의 주요 재료는 티타늄이며, 이는 인체 내에서 잘 흡수되는 재료입니다. 티타늄 재질은 뼈와 잘 결합되어 안정성을 높이며, 인공 이빨을 장기간 사용할 수 있도록 해줍니다.
임플란트 수술은 전문적인 치과 의사나 구강 외과 전문의에 의해 수행됩니다. 일반적으로 수술 후 임플란트는 몇 개월 동안 치아와 함께 인공 잇몸으로 덮여 골이 잘 결합되도록 하고, 그 후에 인공 이빨이 부착됩니다.
임플란트
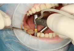
임플란트 시술과정



임플란트 수술은 보통 다음과 같은 과정을 따릅니다.
- 치과 의사와의 상담 및 검사: 치과 의사와의 상담을 통해 환자의 상태와 필요한 수술 범위 등을 확인합니다. 검사를 통해 치아와 관련된 질병이나 문제를 파악할 수 있습니다.
- 수술 계획 및 준비: 검사 결과를 바탕으로 수술 계획을 수립하고, 환자의 건강 상태와 약물 복용 여부 등을 확인합니다. 수술 전에는 국소마취나 전신마취 등의 마취 방법을 결정하고, 필요한 경우 항생제 등의 약물을 처방합니다.
- 임플란트 삽입: 치과 의사는 임플란트를 안정적으로 삽입하기 위해 잇몸을 절개하고, 임플란트를 치아 뼈에 삽입합니다. 수술 후에는 굳게 고여있는 결손을 채우기 위해 뼈 이식이 필요한 경우도 있습니다.
- 치유 기간: 수술 후 몇 주에서 몇 개월까지 치유 기간이 필요합니다. 이 동안 임플란트가 치아 뼈에 안정적으로 고정되도록 하고, 통증이나 부작용이 없는지 확인합니다.
- 임플란트 복원: 임플란트가 안정적으로 고정되면 인공 이빨이 부착됩니다. 이 단계에서는 임플란트를 지지할 구조물인 프레임이나 초록색 인상물 등을 설치하고, 세라믹, 금속, 합금 등으로 만들어진 인공 이빨을 부착합니다.
임플란트 수술 후에는 구강 위생 관리와 치과 의사의 권장을 따라 규칙적인 치아 검진 및 관리가 필요합니다.



크게 보면 임플란트 시술은 3단계로 이루어집니다.
- 치아 뼈에 인공 재질 삽입: 먼저 치과 의사는 국소 마취를 사용하여 치아 뼈를 위한 구멍을 뚫고 인공 재질을 삽입합니다. 이 인공 재질은 일반적으로 티타늄으로 만들어집니다.
- 인공 재질과 치아 뼈 결합: 인공 재질이 치아 뼈와 결합되기 위해 3~6개월 동안 치아 뼈와 재질이 서로 결합할 수 있도록 치료를 받습니다. 이러한 과정을 오스테오인테그레이션(Osteointegration)이라고 합니다.
- 인공 이빨 삽입: 오스테오인테그레이션이 완료된 후, 치과 의사는 인공 이빨을 임플란트에 부착하여 보철 수술을 마무리합니다.
임플란트 시술은 일반적으로 국소 마취로 이루어지며, 전신 마취를 받을 필요가 없습니다. 또한, 시술 후에는 일반적으로 수술 부위에 부기나 출혈 등의 부작용이 나타날 수 있습니다. 따라서 수술 후 충분한 휴식을 취하고 치아 뼈의 치유를 위해 3~6개월 동안 특별한 관리가 필요합니다.
임플란트 시술을 받기 전에는 치과 의사와 상담하여 자신에게 맞는 옵션을 선택하는 것이 좋습니다.
임플란트 가격


임플란트 가격은 국가 및 지역, 병원, 치과 의사 등에 따라 다양합니다. 일반적으로, 임플란트는 치아 보철의 대안으로 사용되기 때문에, 기존의 치아 보철 비용과 비교하면 높은 비용이 발생할 수 있습니다.
임플란트 가격은 수술 및 인공 이빨 설치, 처방 약물, 추가적인 조치가 필요한 경우, 병원 및 치과 의사의 경험 등에 따라 달라집니다. 일반적으로 한 개의 임플란트 수술 비용은 100만원 이상부터 300만원 이상까지 상이할 수 있습니다.
하지만 보험 적용이 가능한 경우도 있으므로, 치아 치료가 필요한 경우 국가 보험 등의 보험 적용 가능 여부를 확인하고, 진료 전에 치과 의사와 상담하여 본인의 상황과 예상 비용을 충분히 이해하는 것이 좋습니다.
임플란트 가격은 일시불로 결제하는 것이 일반적입니다. 그러나 일부 치과 의사들은 할부나, 카드 결제 등을 통해 분할 결제를 지원하는 경우도 있습니다. 단, 비용이 적은 곳이 더 나은 선택이라고 결론 내리기 보다는, 실력과 노하우가 검증된 의사와 병원에서 치료를 받는 것이 중요합니다.
65세 이상 임플란트 보험적용 주요내용
우리나라는 나이 만 65세 이상이라면 임플란트 보험혜택이 주어집니다.
만 65세 이상의 부분 무치악 환자이면 가능하지만 완전무치악 환자일 경우에는 건강보험혜택을 받을 수 없습니다.
완전무치악이란 위 또는 아래 잇몸에 치아가 완전히 없는 상태를 말합니다.
건강보험 적용 개수는 살면서 2개까지 가능하며 적용 부위는 아래턱,위턱 구분 없이 어금니 , 앞니 모두 적용됩니다.
임플란트 수술 후 사후점검기간을 주는데 보철 후 3개월 이내까지만 가능하며 이후에는 보험 적용이 되지 않습니다.
임플란트 건강보험혜택은 임플란트 비용 전부를 해주는 것이 아니라 환자 본인 부담율 30%가 있으며, 임플란트 시술 중의 발치, 신경치료 등 진료비 및 선택진료의 경우 진료비는 별도입니다.
환자 본인 부담율 30%가 있기 때문에 만일 임플란트 비용이 120만원이라면 30%를 적용해 자기부담금은 36만원이 됩니다.


여기서 말하는 불가피하게 시술을 중단하는 경우는 임플란트 치료를 받던 치과 혹은 병원의 폐업 등의 사유로 진료 단계 중에 병원,의원 이동이 발생하는 경우를 말합니다.



임플란트 보험적용기준 Q&A
Q. 치과임플란트를 위한 부가수술(골이식술 등)은 보험이 되나요?
A. 안됩니다. 치과임플란트를 위한 부가수술은 보험적용이 되지 않습니다.
Q. 치과임플란트 보철재료를 금으로 하는 경우에도 보험이 되나요?
A. 안됩니다. 보철재료를 금 ,메탈,지르코니,PFG 등으로 치과임플란트를 시술하는 경우엔 보험 적용이 불가합니다.
Q. 부분틀니를 보험으로 시행한 후 임플란트 시술 시 보험적용가능한가요?
A. 네 가능합니다. 보험적용이 된 부분틀니 환자도 임플란트 보험적용이 가능합니다.
임플란트 후 부작용



임플란트 수술 후에도 부작용이 발생할 수 있습니다. 그러나 이러한 부작용은 일반적으로 임플란트 수술 후 2~3일 이내에 자연적으로 치유됩니다. 수술 후 부작용은 다음과 같습니다.
- 출혈: 수술 후 최초 몇 일 동안 출혈이 발생할 수 있습니다. 이는 일반적으로 수술 부위를 가볍게 누르거나 얼음을 적용하여 조절됩니다.
- 부기: 수술 부위가 부엌 및 눈가와 같이 부을 수 있습니다. 이러한 경우 아이스 팩을 사용하여 부기를 완화시키는 것이 좋습니다.
- 통증: 수술 후 2~3일 동안 일시적인 통증이 발생할 수 있습니다. 이러한 경우는 일반적으로 진통제를 복용하여 조절합니다.
- 감염: 임플란트 수술 후 감염이 발생할 수 있습니다. 이는 수술 후 주의해야 할 가장 큰 부작용 중 하나입니다. 감염은 치주염 또는 골연화증과 같은 구강 질환, 구강 위생 미흡, 항생제 복용, 면역력 저하 등으로 인해 발생할 수 있습니다.
- 신경손상: 수술 후에는 주변 신경이 손상될 수 있습니다. 이 경우, 증상은 일시적으로 민감도 감소, 근육 이상, 감각 손상 등이 발생할 수 있습니다.
- 이식물 이탈: 수술 후, 임플란트가 이탈할 수 있습니다. 이는 일부 조직의 불규칙한 성장, 진단 오류, 부정확한 임플란트 설계 등으로 인해 발생할 수 있습니다.
위 부작용은 임플란트 수술 후 발생할 수 있는 일반적인 부작용입니다. 이러한 부작용이 발생한 경우 치과 의사와 상담하여 추가적인 조치를 취하는 것이 좋습니다.
임플란트 시술 후 주의사항



임플란트 수술 후에는 다음과 같은 주의사항을 지켜야 합니다.
수술 부위의 관리: 수술 후에는 국소 마취가 풀리는 데 몇 시간이 소요됩니다. 이 시간 동안 수술 부위를 부드러운 가죽으로 덮은 얼굴 부위에 가열 팩을 사용하여 부위를 완전히 축소시키면 출혈을 완화시킬 수 있습니다. 출혈이 일어나지 않는다면 4~5시간 이내에 냉각을 중단하고 휴식을 취하는 것이 좋습니다.
음식 관리: 수술 후, 치아와 관련된 음식을 일주일 동안 피해야 합니다. 유제품과 같은 부드러운 음식과 물과 같은 액체를 섭취해야합니다. 음식은 따뜻한 것이 좋으며, 수술 부위에 걸쳐지지 않도록 주의해야 합니다.
담배와 술: 수술 후 24시간 동안은 담배와 술을 금하며, 이후에도 치유가 완전히 될 때까지 담배와 술을 자제해야 합니다.
칫솔과 치실 사용: 수술 후, 일주일 동안 칫솔과 치실을 사용하지 않는 것이 좋습니다. 이 시간 동안 살균제로 구강을 깨끗이 닦는 것이 좋습니다.
임플란트 관리: 수술 후, 임플란트 관리에 특별한 관심을 기울여야 합니다. 이를 위해 교정기, 흡연, 구강 위생, 구강 질환, 영양 등의 요소를 고려하여 빠른 회복을 위해 노력해야 합니다.
위와 같은 주의사항을 잘 지키면서 치료를 진행하면, 임플란트 수술의 성공률이 높아집니다. 수술 후에도 언제든지 치과 의사와 상담하면서 치료 과정을 안정적으로 이어나가는 것이 좋습니다.
수술 후 주의사항
- 거즈는 출혈을 멎게 하기 위해 최소 2시간 이상은 물고 있어야 하며 침이나 피는 뱉지 않고 삼켜야 합니다.
- 수술 후 붓기관리를 위해 하루 동안은 5분 간격으로 얼음찜질을 해주어야 합니다.
- 통증 완화 및 염증 예방을 위해 의사가 처방한 처방약은 반드시 복용해야 합니다.
- 수술 후 일주일간 연식 및 유동식을 주로 드셔야 하며 빨대 사용은 금하고 질기거나 단단하고 뜨거운 음식은 피하셔야 합니다.
- 수술 후 2~3일간 심한 운동 및 사우나 등은 삼가해야하고 충분한 휴식을 취해야합니다.
- 수술 부위의 염증 유발 요인을 줄이기 위해 최소 한달간 금주 및 금연해야 합니다.
- 수술 후 이상이 느껴지면 병원으로 바로 연락을 해 조치를 취해야 합니다.
수술 후 구강위생관리
수술 후 구강위생이 불량하면 임플란트 주위 염증이 발생하므로 수술 후 관리가 중요합니다.
- 수술한 부위는 의사의 지시에 따라 소독양치액으로 헹구어야 하며, 구강청결제를 병행하여 깨끗하게 관리해야 합니다.
- 칫솔질을 할 때에는 칫솔모를 치아에 대고 원을 그리듯 살살 양치셔야 하며 수술 후 1~2주간은 수술 부위에 자극이 가지 않도록 주의해야 합니다.


이상으로 임플란트 건강보험 혜택, 임플란트 종류, 수술 후 관리 등 여러 정보에 대해 알아보았습니다.
아래는 살면서 유용한 정보에 대해 남겨두었으니 꼭 참고 하시길 바랍니다.